Kanker deel II (de uitslag)
Een rare week. Een soort gevoel van leven in the twilight zone. Geen idee of ik bij de uitslag vorige week nou moest huilen of lachen. Is het nou goed of niet? […]
Een rare week. Een soort gevoel van leven in the twilight zone. Geen idee of ik bij de uitslag vorige week nou moest huilen of lachen. Is het nou goed of niet? […]
[This is password-protected.]
Tja, de uitslag was niet erg duidelijk. Er zat nog wat, maar het kan een (nieuwe) tumor zijn of een stuk (litteken)weefsel. Daar kan je natuurlijk ook niets mee… […]
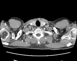
Een beetje vertraging omdat ik geen CD-ROM meer heb thuis… maar hier zijn dan eindelijk de beelden van mijn eerste scan-check. […]
[This is password-protected.]
Vandaag om 10:35 ben ik aan de beurt bij de chirurg om de uitslag te krijgen van mijn eerste echte scan na de operatie. […]
[This is password-protected.]
[This is password-protected.]
Het is inmiddels niet meer spannend, tenminste het scannen zelf. […]