Scan uitslag met afbeeldingen
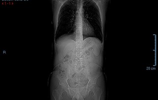
Nou… daar gaan we dan. Opgewekt met lood in de schoenen naar Amsterdam, naar het Antoni van Leeuwenhoek (AvL) ziekenhuis. De uitslag na 9 weken chemo… […]
Nou… daar gaan we dan. Opgewekt met lood in de schoenen naar Amsterdam, naar het Antoni van Leeuwenhoek (AvL) ziekenhuis. De uitslag na 9 weken chemo… […]